PathoPic – image database / PathoPic ID 5278 - Schwannom: Antoni B Wachstumsmuster

de
Diagnose
Schwannom: Antoni B Wachstumsmuster
Diagnose Gruppe
benigner Tumor
Topographie
Nerv peripher
Topographie Gruppe
Nervensystem
Beschreibung
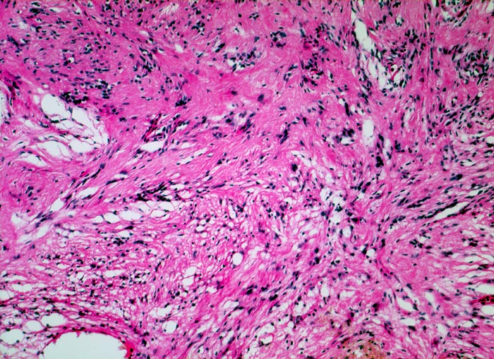
Links oben im Bild kompaktes Wachstumsmuster entsprechend einem Antoni A Muster. Unten im Bild lockere Anordnung der neoplastischen Zellen entsprechend einem Antoni B Muster.
Zusatzbefund
Immunhistochemisch sind die Tumorzellen diffus und stark positiv für S-100 Protein.
Klinik
Derber abgekapselter Tumor am Nervus ulnaris
Kommentar
.
Bilder Typ
Histologie
Vergrösserung
100
Alter
44
Geschlecht
unbekannt
Datum
Ersteintrag: 03.08.2002
Update: 04.02.2024