PathoPic – image database / PathoPic ID 5279 - Schwannom: Verocay bodies

de
Diagnose
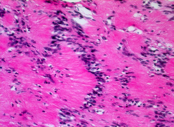
Schwannom: Verocay bodies
Diagnose Gruppe
benigner Tumor
Topographie
Nerv peripher
Topographie Gruppe
Nervensystem
Beschreibung
Palisadierung der Tumorzellkerne und parallele Anordnung der kernlosen Zellfortsätze in einem Verocay body.
Zusatzbefund
Immunhistochemisch sind die Tumorzellen diffus und stark positiv für S-100 Protein.
Klinik
Derber abgekapselter Tumor am Nervus ulnaris
Kommentar
Die parallele Anordnung von Zellkernen und Zytoplasmafortsätzen nennt man Verocay body. Diese sind typisch für Schwannome können aber auch von anderen Tumoren imitiert werden (z.B. Meningeom).
Bilder Typ
Histologie
Vergrösserung
200
Alter
44
Geschlecht
unbekannt
Datum
Ersteintrag: 03.08.2002
Update: 04.02.2024