PathoPic – image database / PathoPic ID 5280 - Schwannom: degenerative Veränderungen

de
Diagnose
Schwannom: degenerative Veränderungen
Diagnose Gruppe
benigner Tumor
Topographie
Nerv peripher
Topographie Gruppe
Nervensystem
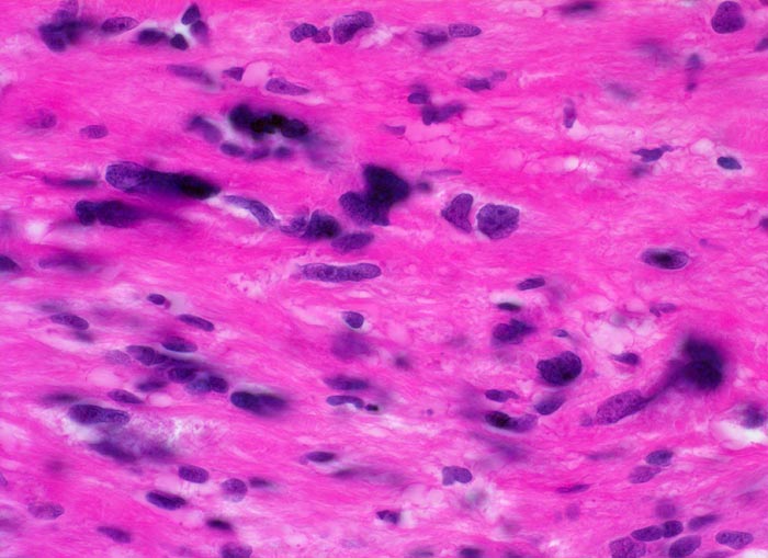
Beschreibung
Ein Teil der Tumorzellen zeigt die Morphologie von Schwannzellen. Daneben finden sich aber auch degenerativ veränderte Zellen mit stark verformten, vergrösserten und hyperchromatischen Kernen.
Zusatzbefund
Immunhistochemisch sind die Tumorzellen diffus und stark positiv für S-100 Protein.
Klinik
Derber abgekapselter Tumor am Nervus ulnaris
Bilder Typ
Histologie
Vergrösserung
400
Alter
44
Geschlecht
unbekannt
Datum
Ersteintrag: 03.08.2002
Update: 04.02.2024