PathoPic – image database / PathoPic ID 5299 - Lentigo simplex

de
Diagnose
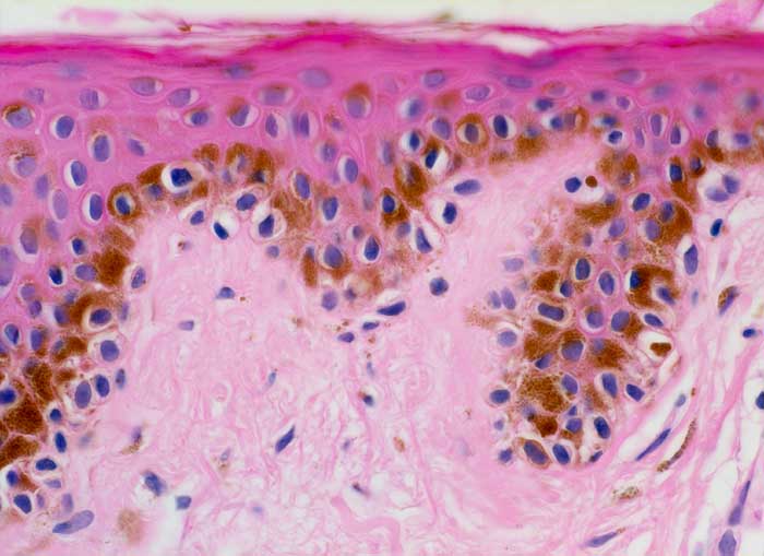
Lentigo simplex
Diagnose Gruppe
Hyperplasie / Hypertrophie
Topographie
Haut, obere Extremität
Topographie Gruppe
Haut
Beschreibung
Die Retezapfen sind verlängert. Die Melanozyten sind stark vermehrt, bilden ein kontinuierliches Band und sind umgeben von einem Halo. Die angrenzenden Keratinozyten sind hyperpigmentiert.
Kommentar
Epheliden weisen lediglich eine Hyperpigmentierung der basalen Keratinozyten auf, die Melanozyten hingegen sind nicht vermehrt. Bei den lentiginösen junktionalen Naevi finden sich neben einzelnen vermehrten Melanozyten zusätzlich kleine junktionale Gruppen von Melanozyten.
Bilder Typ
Histologie
Vergrösserung
400
Alter
45
Geschlecht
unbekannt
Datum
Ersteintrag: 19.11.2002
Update: 04.02.2024