PathoPic – image database / PathoPic ID 532 - AL-Amyloidose

de
Diagnose
AL-Amyloidose
Diagnose Gruppe
Systemerkrankung/Immunpathologie
Topographie
Herz
Topographie Gruppe
Kardiovaskuläres System
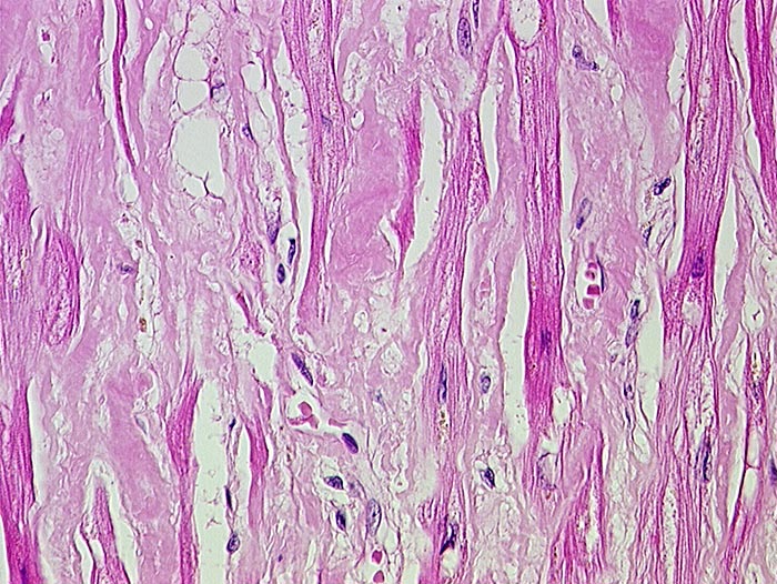
Beschreibung
Interstitielle azelluläre Amyloidablagerungen.
Klinik
Monoklonale Plasmazelldyskrasie IgG-lambda seit 9 Monaten.
Bilder Typ
Histologie
Alter
67
Geschlecht
männlich
Datum
Ersteintrag: 14.11.2001
Update: 04.02.2024