Pathopic
HiPaKu
ZyPaKu
PathoBasic
PathoBasic Cytology
Quizzes
Projektinfos
PathoPic - Projekt- und Copyright-Infos
About
Pathopic
HiPaKu
ZyPaKu
PathoBasic
PathoBasic Cytology
Quizzes
PathoPic – image database
/
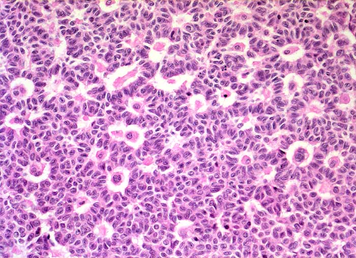
PathoPic ID 5331 - Granulosazelltumor vom adulten Typ des Ovars
de
Diagnose
Granulosazelltumor vom adulten Typ des Ovars
Diagnose Gruppe
maligner Tumor
Topographie
Ovar
Topographie Gruppe
Genitalorgane, weiblich
Beschreibung
Solides Tumorareal mit zahlreichen
Call Exner Körperchen. Die Tumorzellen zeigen längliche Kerne mit Kernkerben.
Zusatzbefund
Die Tumorzellen zeigen eine Positivität für Inhibin und CD99, sind jedoch negativ für EMA.
Klinik
Ovarial-Tumor links -> Adnexektomie links. Frage: Dignität? CA-125 im Normbereich.
Bilder Typ
Histologie
Vergrösserung
200
Alter
62
Geschlecht
unbekannt
Datum
Ersteintrag: 19.11.2002
Update: 04.02.2024
CPS
·
©
2024 Institut für Pathologie Basel
/
Dr. med. Katharina Glatz-Krieger
.
·
v2.1