PathoPic – image database / PathoPic ID 5332 - Granulosazelltumor vom adulten Typ des Ovars

de
Diagnose
Granulosazelltumor vom adulten Typ des Ovars
Diagnose Gruppe
maligner Tumor
Topographie
Ovar
Topographie Gruppe
Genitalorgane, weiblich
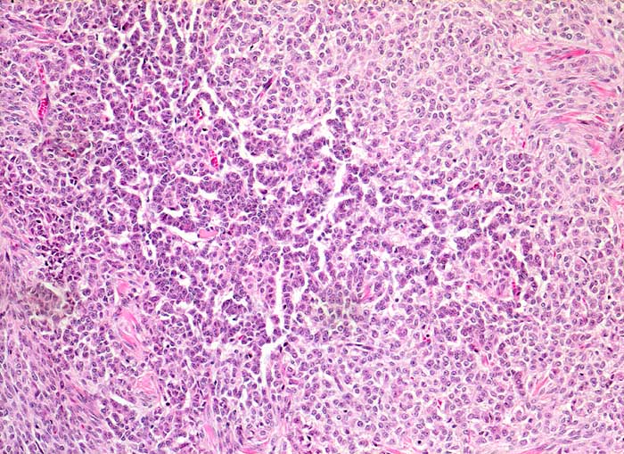
Beschreibung
Solides Tumorwachstum im Wechsel mit girlandenartigen schmalen Tumorzellsträngen.
Zusatzbefund
Die Tumorzellen zeigen eine Positivität für Inhibin und CD99, sind jedoch negativ für EMA.
Klinik
Ovarial-Tumor links -> Adnexektomie links. Frage: Dignität? CA125 im Normbereich.
Bilder Typ
Histologie
Vergrösserung
100
Alter
62
Geschlecht
unbekannt
Datum
Ersteintrag: 19.11.2002
Update: 04.02.2024