PathoPic – image database / PathoPic ID 538 - Grosszelliges neuroendokrines Karzinom

de
Diagnose
Grosszelliges neuroendokrines Karzinom
Diagnose Gruppe
maligner Tumor
Topographie
Lunge
Topographie Gruppe
Lunge, Mediastinum mit Thymus
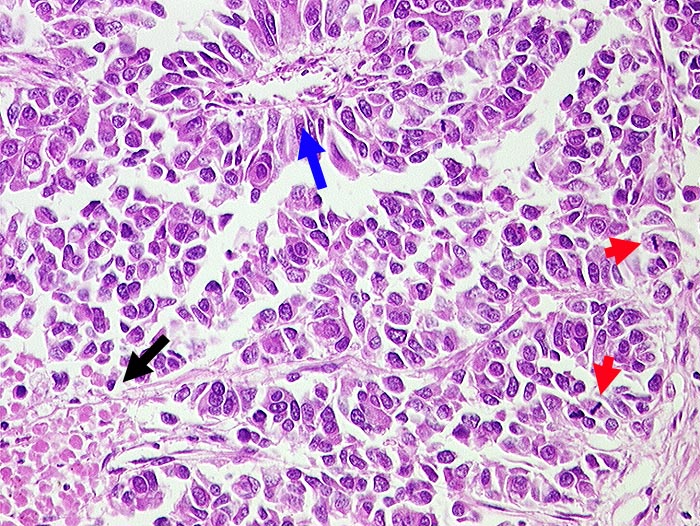
Beschreibung
Mittelgrosse Tumorzellen mit reichlich Zytoplasma und zahlreichen Mitosen. Herdförmige Nekrosen. Pseudorosettenbildung um Gefäss.
Zusatzbefund
Zentrales Bronchuskarzinom. Synaptophysin und NSE positiv.
Bilder Typ
Histologie
Alter
52
Geschlecht
unbekannt
Datum
Ersteintrag: 14.11.2001
Update: 04.02.2024