PathoPic – image database / PathoPic ID 5384 - maligner Müller'scher Mischtumor des Ovars

de
Diagnose
maligner Müller'scher Mischtumor des Ovars
Diagnose Gruppe
maligner Tumor
Topographie
Ovar
Topographie Gruppe
Genitalorgane, weiblich
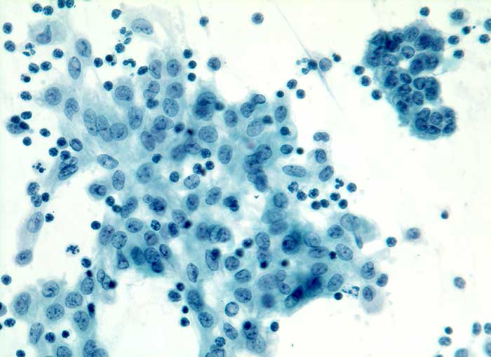
Beschreibung
Ovarialzyste links, Feinnadelpunktion: Vereinzelte dichte Verbände von zytoplasmaarmen atypischen Zellen mit pleomorphen, hyperchromatischen Kernen. Im Ausstrichhintergrund einige Makrophagen und Lymphozyten.
Klinik
V.a. Ovarialkarzinom
Kommentar
Zytologische Diagnose: Einzelne Karzinomzellen und Karzinomzellverbände. Der zytologische Befund ähnelt einem serösen Zystadenokarzinom. Schaumzellen fallen im vorliegenden Ausstrich jedoch kaum ins Gewicht.
Bilder Typ
Zytologie
Vergrösserung
320
Alter
71
Geschlecht
unbekannt
Datum
Ersteintrag: 20.11.2002
Update: 04.02.2024