Pathopic
HiPaKu
ZyPaKu
PathoBasic
PathoBasic Cytology
Quizzes
Projektinfos
PathoPic - Projekt- und Copyright-Infos
About
Pathopic
HiPaKu
ZyPaKu
PathoBasic
PathoBasic Cytology
Quizzes
PathoPic – image database
/
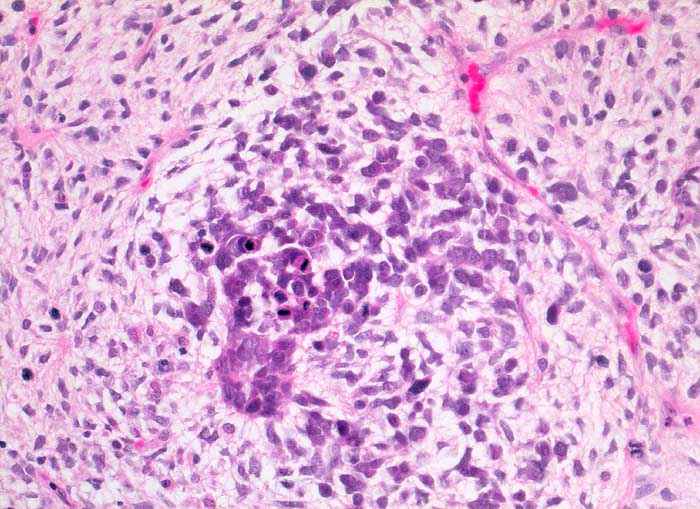
PathoPic ID 5385 - maligner Müller'scher Mischtumor: Sarkomkomponente
de
Diagnose
maligner Müller'scher Mischtumor: Sarkomkomponente
Diagnose Gruppe
maligner Tumor
Topographie
Ovar
Topographie Gruppe
Genitalorgane, weiblich
Beschreibung
Sarkomatöse Komponente mit zahlreichen Mitosen
Klinik
Ovarialkarzinom
Bilder Typ
Histologie
Vergrösserung
200
Alter
71
Geschlecht
unbekannt
Datum
Ersteintrag: 20.11.2002
Update: 04.02.2024
CPS
·
©
2024 Institut für Pathologie Basel
/
Dr. med. Katharina Glatz-Krieger
.
·
v2.1