Pathopic
HiPaKu
ZyPaKu
PathoBasic
PathoBasic Cytology
Quizzes
Projektinfos
PathoPic - Projekt- und Copyright-Infos
About
Pathopic
HiPaKu
ZyPaKu
PathoBasic
PathoBasic Cytology
Quizzes
PathoPic – image database
/
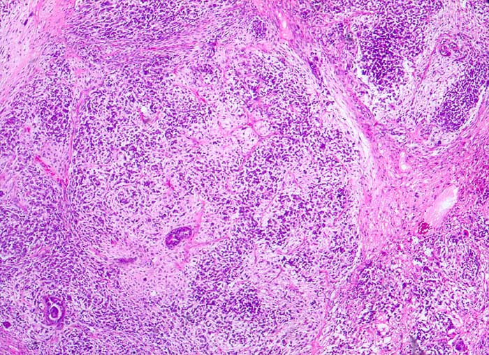
PathoPic ID 5386 - maligner Müller'scher Mischtumor des Ovars
de
Diagnose
maligner Müller'scher Mischtumor des Ovars
Diagnose Gruppe
maligner Tumor
Topographie
Ovar
Topographie Gruppe
Genitalorgane, weiblich
Beschreibung
Karzinomatöse Drüsen in malignem mesenchymalem Stroma
Klinik
Ovarialkarzinom
Bilder Typ
Histologie
Vergrösserung
25
Alter
71
Geschlecht
unbekannt
Datum
Ersteintrag: 20.11.2002
Update: 04.02.2024
CPS
·
©
2024 Institut für Pathologie Basel
/
Dr. med. Katharina Glatz-Krieger
.
·
v2.1