PathoPic – image database / PathoPic ID 539 - Detritussynovialitis bei Femurkopfnekrose

de
Diagnose
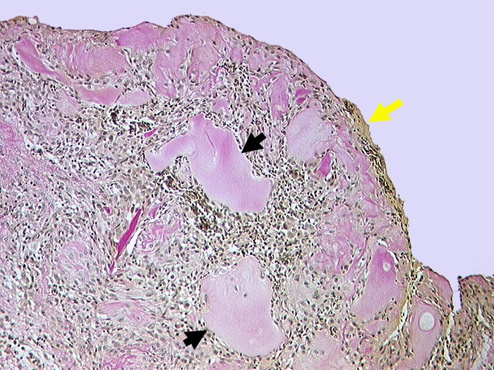
Detritussynovialitis bei Femurkopfnekrose
Diagnose Gruppe
Entzündung / Reparatur
Topographie
Synovialis
Topographie Gruppe
Knochen, Knorpel, Gelenke
Beschreibung
Fibrosierte Synovialis mit geringen Fibrinauflagerungen und avitalen Knochenfragmenten und Knorpelfragmenten umgeben von einem lockeren mononukleären Entzündungsinfiltrat.
Bilder Typ
Histologie
Alter
58
Geschlecht
männlich
Datum
Ersteintrag: 04.07.2002
Update: 04.02.2024