PathoPic – image database / PathoPic ID 5392 - Muzinöses Zystadenom

de
Diagnose
Muzinöses Zystadenom
Diagnose Gruppe
benigner Tumor
Topographie
Ovar
Topographie Gruppe
Genitalorgane, weiblich
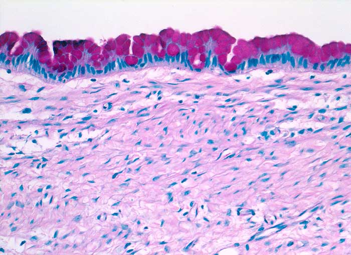
Beschreibung
Die Zyste ist ausgekleidet von schleimbildenden Zylinderzellen ohne Atypie.
Zusatzbefund
Schleim++
Altes Blut+
Granulozyten+
Histiozyten(+)
Makrophagen++
Histiozytäre Riesenzellen(+)
Schleimbildende Zylinderzellen(+)
Klinik
"Ovarialzyste" (gross) Dm 20cm.
Kommentar
Da hochdifferenzierte muzinöse Karzinome bisweilen kaum Atypien aufweisen, ist die sorgfältige Untersuchung des Operationspräparates notwendig (mindestens 1 Block pro cm Tumordurchmesser)
Bilder Typ
Histologie
Vergrösserung
200
Alter
55
Geschlecht
unbekannt
Datum
Ersteintrag: 20.11.2002
Update: 04.02.2024