PathoPic – image database / PathoPic ID 5407 - follikuläre Neoplasie: mikrofollikuläres Schilddrüsenadenom

de
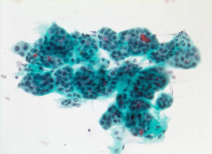
Diagnose
follikuläre Neoplasie: mikrofollikuläres Schilddrüsenadenom
Diagnose Gruppe
benigner Tumor
Topographie
Schilddrüse
Topographie Gruppe
Endokrinium
Beschreibung
Feinnadelpunktat Knoten zervikal: zahlreiche kleine Follikel mit wenig Kolloid.
Zusatzbefund
Histologie: mikrofollikuläres Adenom
Kommentar
Zytologische Diagnose: follikuläre Neoplasie
Bilder Typ
Zytologie
Vergrösserung
320
Alter
21
Geschlecht
unbekannt
Datum
Ersteintrag: 20.11.2002
Update: 04.02.2024