Diagnose
follikuläre Neoplasie: mikrofollikuläres Schilddrüsenadenom
Diagnose Gruppe
benigner Tumor
Topographie Gruppe
Endokrinium
Beschreibung
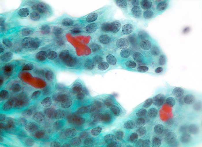
Feinnadelpunktat Knoten zervikal: Mikrofollikel mit wenig dichtem Kolloid. Die Epithelien sind etwas grösser als normale Follikelzellen und monomorph.
Zusatzbefund
Histologie: mikrofollikuläres Adenom
Kommentar
Zytologische Diagnose: follikuläre Neoplasie
Datum
Ersteintrag: 20.11.2002
Update: 04.02.2024