PathoPic – image database / PathoPic ID 542 - Asthma bronchiale

de
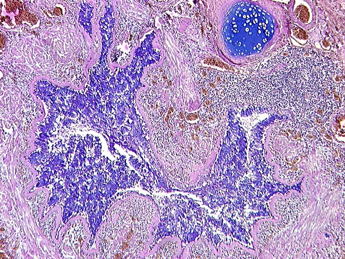
Diagnose
Asthma bronchiale
Diagnose Gruppe
Entzündung / Reparatur
Topographie
Lunge
Topographie Gruppe
Lunge, Mediastinum mit Thymus
Beschreibung
Kleiner Bronchus mit Becherzellhyperplasie, starker Verdickung der Basalmembran und Hypertrophie der glatten Muskulatur. Sternförmiges Lumen.
Klinik
Tod im Asthmaanfall bei bekanntem Asthma bronchiale.
Bilder Typ
Histologie
Alter
12
Geschlecht
unbekannt
Datum
Ersteintrag: 14.11.2001
Update: 04.02.2024