PathoPic – image database / PathoPic ID 5426 - papilläres Schilddrüsenkarzinom

de
Diagnose
papilläres Schilddrüsenkarzinom
Diagnose Gruppe
maligner Tumor
Topographie
Schilddrüse
Topographie Gruppe
Endokrinium
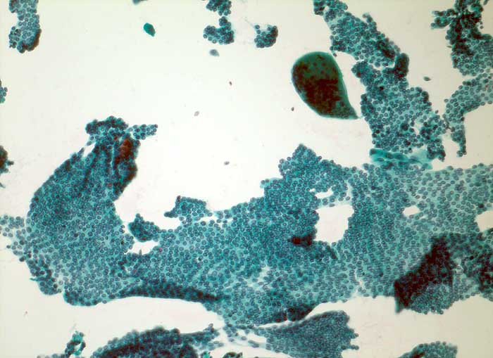
Beschreibung
Schilddrüse Feinnadelpunktion: Die Tumorzellen bilden flächenhafte wohlgeordnete Verbände. Sehr wenig Kolloid. Eindeutige papilläre Strukturen fehlen. Riesenzelle.
Zusatzbefund
-
Klinik
V.a. papilläres Schilddrüsenkarzinom. Jetzt Hemithyreoidektomie liks
Kommentar
Mehrkernige Riesenzellen in der FNP der Schilddrüse:
- subakute Thyreoiditis de Quervain oder Hashimoto Thyreoiditis
- papilläres Karzinom
- Granulationsgewebe, postoperativ
- mediane Halszyste
- Zyste (mehrkernige Schaumzellen)
- anaplastisches Karzinom mit osteoklastenartigen Riesenzellen
- medulläres Karzinom oder Glomustumor (selten)
Bilder Typ
Zytologie
Vergrösserung
100
Alter
40
Geschlecht
unbekannt
Datum
Ersteintrag: 20.11.2002
Update: 04.02.2024