PathoPic – image database / PathoPic ID 543 - Asthma bronchiale

de
Diagnose
Asthma bronchiale
Diagnose Gruppe
Entzündung / Reparatur
Topographie
Lunge
Topographie Gruppe
Lunge, Mediastinum mit Thymus
Beschreibung
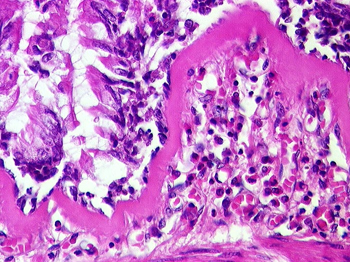
Bronchiolus mit starker Verdickung der Basalmembran und subepithelialem lymphoplasmazellulärem Entzündungsinfiltrat unter Beteiligung eosinophiler Granulozyten.
Klinik
Tod im Asthmaanfall bei bekanntem Asthma bronchiale.
Bilder Typ
Histologie
Alter
12
Geschlecht
unbekannt
Datum
Ersteintrag: 14.11.2001
Update: 04.02.2024