PathoPic – image database / PathoPic ID 5436 - Senile Demenz vom Alzheimer Typ

de
Diagnose
Senile Demenz vom Alzheimer Typ
Diagnose Gruppe
organspezifische Erkrankung
Topographie
Hirn temporal
Topographie Gruppe
Nervensystem
Beschreibung
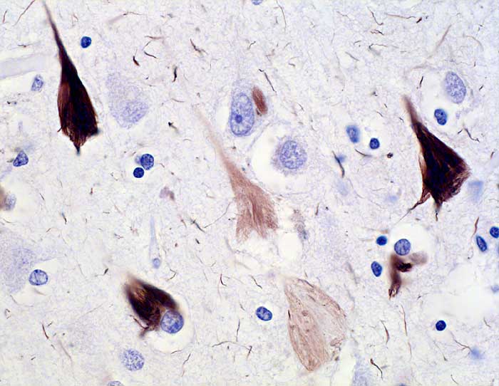
Mit der Silberfärbung nach Gallyas färben sich die intraneuronalen Alzheimerfibrillen (=Tangles) und die Neuropilfäden (feine schwarze Fäden) schwarz an. Nach Absterben der Neurone vermindert sich die Argentaffinität der Tangles. Diese sind als blassbraune extrazelluläre Fasern erkennbar.
Klinik
Schwere Demenz mit Beginn der Symptomatik vor 10 Jahren
Kommentar
Gallyas spricht sich aus: "Geiasch"
Bilder Typ
Histologie
Alter
88
Geschlecht
unbekannt
Datum
Ersteintrag: 19.11.2002
Update: 04.02.2024