Pathopic
HiPaKu
ZyPaKu
PathoBasic
PathoBasic Cytology
Quizzes
Projektinfos
PathoPic - Projekt- und Copyright-Infos
About
Pathopic
HiPaKu
ZyPaKu
PathoBasic
PathoBasic Cytology
Quizzes
PathoPic – image database
/
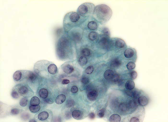
PathoPic ID 5444 - Azinuszellkarzinom
de
Diagnose
Azinuszellkarzinom
Diagnose Gruppe
maligner Tumor
Topographie
Parotis
Topographie Gruppe
Kopf & Hals, Sinnesorgane
Beschreibung
Feinnadelpunktion Parotis: kubische bis rundliche Zellen mit gleichförmigen runden, fein strukturierten Kernen und feinen Nukleolen. Zytoplasma breit, fein vakuolisiert. Die Zellen bilden azinusähnliche Formationen.
Zusatzbefund
-
Bilder Typ
Zytologie
Vergrösserung
630
Alter
57
Geschlecht
unbekannt
Datum
Ersteintrag: 14.11.2002
Update: 04.02.2024
CPS
·
©
2024 Institut für Pathologie Basel
/
Dr. med. Katharina Glatz-Krieger
.
·
v2.1