Pathopic
HiPaKu
ZyPaKu
PathoBasic
PathoBasic Cytology
Quizzes
Projektinfos
PathoPic - Projekt- und Copyright-Infos
About
Pathopic
HiPaKu
ZyPaKu
PathoBasic
PathoBasic Cytology
Quizzes
PathoPic – image database
/
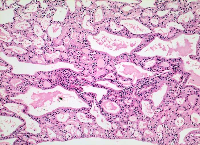
PathoPic ID 5446 - Azinuszellkarzinom
de
Diagnose
Azinuszellkarzinom
Diagnose Gruppe
maligner Tumor
Topographie
Parotis
Topographie Gruppe
Kopf & Hals, Sinnesorgane
Beschreibung
An Schilddrüsenparenchym erinnerndes follikuläres Wachstumsmuster. Hochprismatische Tumorzellen mit kleinen Kernen und reichlich hellem Zytoplasma.
Zusatzbefund
-
Bilder Typ
Histologie
Vergrösserung
100
Alter
57
Geschlecht
unbekannt
Datum
Ersteintrag: 14.11.2002
Update: 04.02.2024
CPS
·
©
2024 Institut für Pathologie Basel
/
Dr. med. Katharina Glatz-Krieger
.
·
v2.1