PathoPic – image database / PathoPic ID 5448 - Lymphknotensarkoidose

de
Diagnose
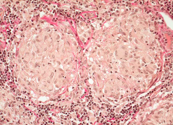
Lymphknotensarkoidose
Diagnose Gruppe
Entzündung / Reparatur
Topographie
Lymphknoten, Kopf-cervikal
Topographie Gruppe
Lymphatische Gewebe, KM, Milz
Beschreibung
Epitheloidzellen mit reichlich Zytoplasma bilden Granulome mit beginnender Fibrose.
Zusatzbefund
-
Klinik
Lymphknotenvergrösserung supraklavikulär und submandibulär. Nachtschweiss und Gewichtsverlust.
Bilder Typ
Histologie
Vergrösserung
320
Alter
31
Geschlecht
unbekannt
Datum
Ersteintrag: 14.11.2002
Update: 04.02.2024