Diagnose
Lymphknotensarkoidose
Diagnose Gruppe
Entzündung / Reparatur
Topographie
Lymphknoten, Kopf-cervikal
Topographie Gruppe
Lymphatische Gewebe, KM, Milz
Beschreibung
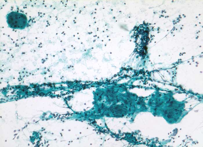
Feinnadelpunktion Parotislymphknoten: Reichlich Lymphozyten und
epitheloidzellige Granulome und eine
Riesenzelle.
Zusatzbefund
Ziehl Neelsen negativ
Klinik
Lymphknotenvergrösserung supraklavikulär und submandibulär. Nachtschweiss und Gewichtsverlust.
Kommentar
Eine rein produktive Tuberkulose ist nicht auszuschliessen.
Datum
Ersteintrag: 14.11.2002
Update: 04.02.2024