PathoPic – image database / PathoPic ID 5455 - Warthin Tumor

de
Diagnose
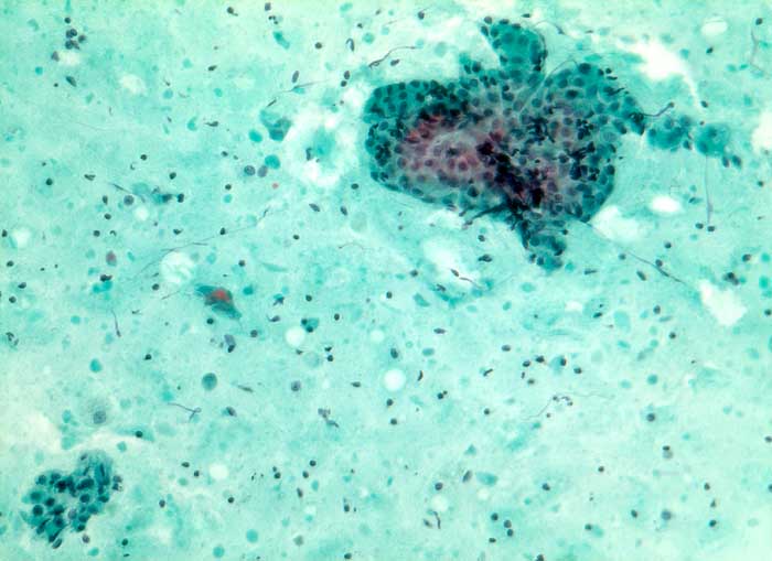
Warthin Tumor
Diagnose Gruppe
benigner Tumor
Topographie
Parotis
Topographie Gruppe
Kopf & Hals, Sinnesorgane
Beschreibung
Feinnadelpunktion Parotis: Fein bis grobscholliger Detritus mit einzelnen schattenhaften Zellen und locker verstreuten Lymphozyten. Dazwischen hin und wieder Aggregate onkozytärer Zellen durchmischt mit vereinzelten Lymphozyten.
Klinik
Unklare Schwellung Parotisunterpol
Bilder Typ
Zytologie
Vergrösserung
160
Alter
57
Geschlecht
männlich
Datum
Ersteintrag: 24.11.2002
Update: 04.02.2024