Beschreibung
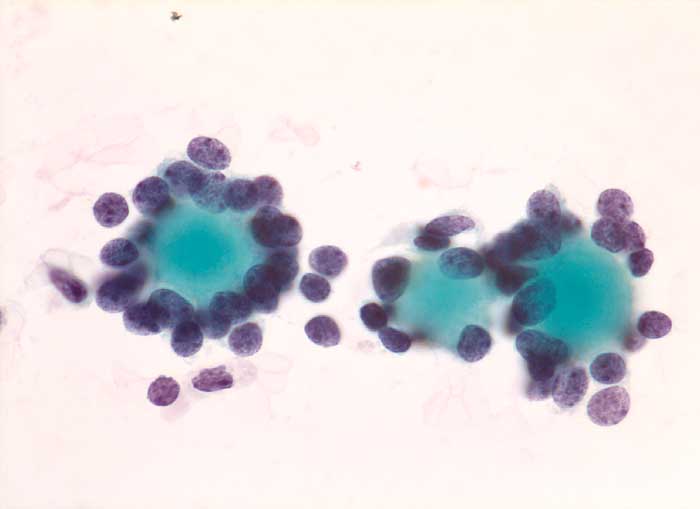
Feinnadelpunktion Ohrmuschel: Atypische Zellen sind um einen Matrixkern angeordnet. Die Zellatypien sind gering ausgeprägt. Die Kerne sind von gleichmässiger Grösse, rundlich bis leicht oval und fein granuliert. Angedeutete randständige Nukleolen. Der Zytoplasmaleib ist schmal.