PathoPic – image database / PathoPic ID 5457 - Anaplastisches Schilddrüsenkarzinom

de
Diagnose
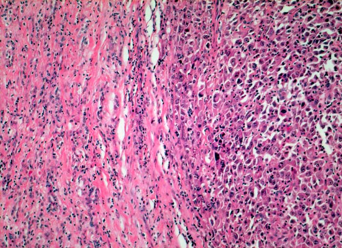
Anaplastisches Schilddrüsenkarzinom
Diagnose Gruppe
maligner Tumor
Topographie
Schilddrüse
Topographie Gruppe
Endokrinium
Beschreibung
Anaplastischer solider Tumorknoten mit bizarren grossen Tumorzellen.
Klinik
Strumaknoten links mit Einengung der Trachea
Bilder Typ
Histologie
Vergrösserung
100
Alter
70
Geschlecht
unbekannt
Datum
Ersteintrag: 24.11.2002
Update: 04.02.2024