PathoPic – image database / PathoPic ID 5458 - Anaplastisches Schilddrüsenkarzinom

de
Diagnose
Anaplastisches Schilddrüsenkarzinom
Diagnose Gruppe
maligner Tumor
Topographie
Schilddrüse
Topographie Gruppe
Endokrinium
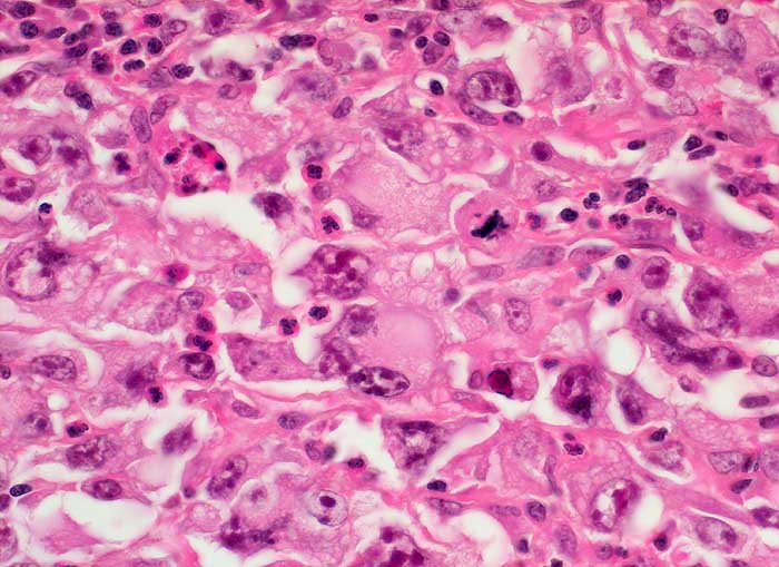
Beschreibung
Solider Tumor mit grossen pleomorphen Tumorzellen mit reichlich Zytoplasma.
Klinik
Strumaknoten links mit Einengung der Trachea
Bilder Typ
Histologie
Vergrösserung
400
Alter
70
Geschlecht
unbekannt
Datum
Ersteintrag: 24.11.2002
Update: 04.02.2024