Beschreibung
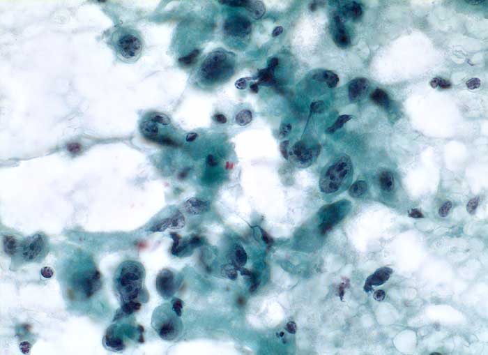
Feinnadelpunktion Schilddrüse: Der Ausstrich enthält atypische Zellen, welche wesentlich grösser sind als regelrechte Schilddrüsenepithelien. Die Tumorzellen sind ein oder mehrkernig. Die Kerne sind stark polymorph, grob strukturiert mit meist mehreren plumpen Nukleolen. Das Zytoplasma ist unterschiedlich breit.