Pathopic
HiPaKu
ZyPaKu
PathoBasic
PathoBasic Cytology
Quizzes
Projektinfos
PathoPic - Projekt- und Copyright-Infos
About
Pathopic
HiPaKu
ZyPaKu
PathoBasic
PathoBasic Cytology
Quizzes
PathoPic – image database
/
PathoPic ID 5460 - Anaplastisches Schilddrüsenkarzinom
de
Diagnose
Anaplastisches Schilddrüsenkarzinom
Diagnose Gruppe
maligner Tumor
Topographie
Schilddrüse
Topographie Gruppe
Endokrinium
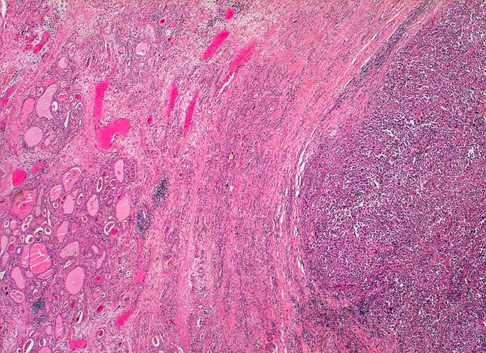
Beschreibung
Zwischen Schilddrüsenparenchym und solidem
Tumorknoten liegt eine dicke bindegewebige Kapsel. Bereits in dieser Vergrösserung ist erkennbar, dass der Tumor weder follikuläre noch papilläre Strukturen enthält.
Klinik
Strumaknoten links mit Einengung der Trachea
Bilder Typ
Histologie
Vergrösserung
25
Alter
70
Geschlecht
unbekannt
Datum
Ersteintrag: 24.11.2002
Update: 04.02.2024
CPS
·
©
2024 Institut für Pathologie Basel
/
Dr. med. Katharina Glatz-Krieger
.
·
v2.1