PathoPic – image database / PathoPic ID 5462 - Papilläres Schilddrüsenkarzinom

de
Diagnose
Papilläres Schilddrüsenkarzinom
Diagnose Gruppe
maligner Tumor
Topographie
Schilddrüse
Topographie Gruppe
Endokrinium
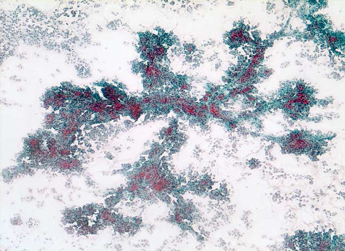
Beschreibung
Feinnadelpunktion Schilddrüse: Papilläre Tumorzellverbände.
Klinik
Rezidivstruma mit Knoten und grösserer Zyste
Bilder Typ
Zytologie
Vergrösserung
25
Alter
82
Geschlecht
unbekannt
Datum
Ersteintrag: 24.11.2002
Update: 04.02.2024