Pathopic
HiPaKu
ZyPaKu
PathoBasic
PathoBasic Cytology
Quizzes
Projektinfos
PathoPic - Projekt- und Copyright-Infos
About
Pathopic
HiPaKu
ZyPaKu
PathoBasic
PathoBasic Cytology
Quizzes
PathoPic – image database
/
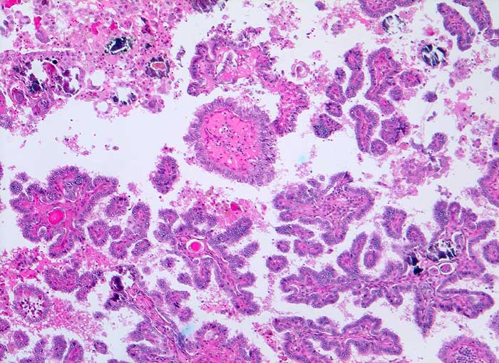
PathoPic ID 5466 - Papilläres Schilddrüsenkarzinom
de
Diagnose
Papilläres Schilddrüsenkarzinom
Diagnose Gruppe
maligner Tumor
Topographie
Schilddrüse
Topographie Gruppe
Endokrinium
Beschreibung
Papillär gebauter Tumor mit zahlreichen Psammomkörperchen.
Bilder Typ
Histologie
Vergrösserung
50
Alter
61
Geschlecht
unbekannt
Datum
Ersteintrag: 24.11.2002
Update: 04.02.2024
CPS
·
©
2024 Institut für Pathologie Basel
/
Dr. med. Katharina Glatz-Krieger
.
·
v2.1