PathoPic – image database / PathoPic ID 548 - Ulzeröse Herpesglossitis

de
Diagnose
Ulzeröse Herpesglossitis
Diagnose Gruppe
Entzündung infektiös
Topographie
Zunge
Topographie Gruppe
Kopf & Hals, Sinnesorgane
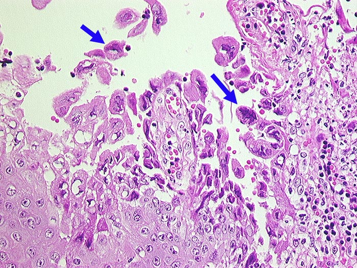
Beschreibung
Ulzerierte Zungenschleimhaut. In der unmittelbaren Ulkusumgebungb teils mehrkernige Plattenepithelzellen mit Milchglaskernen.
Klinik
T-Zell Lymphom mit leukämischer Ausschwemmung bekannt seit 3 Jahren. Infarktoide areaktive Pneumonie.
Bilder Typ
Histologie
Alter
87
Geschlecht
unbekannt
Datum
Ersteintrag: 14.11.2001
Update: 04.02.2024