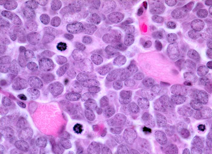
Solides sehr monomorphes Tumorzellinfiltrat. Die Tumorzellen haben praktisch kein Zytoplasma. Das Chromatin ist fein granuliert. Die Kerne enthalten feine Nukleolen. Zahlreiche Mitosen. Der Tumor infiltriert die Skelettmuskulatur.
Zusatzbefund
Immunhistochemie: CK20 und Synaptophysin positiv. Melanommarker, CD20, CD45, TTF1 negativ.