Pathopic
HiPaKu
ZyPaKu
PathoBasic
PathoBasic Cytology
Quizzes
Projektinfos
PathoPic - Projekt- und Copyright-Infos
About
Pathopic
HiPaKu
ZyPaKu
PathoBasic
PathoBasic Cytology
Quizzes
PathoPic – image database
/
PathoPic ID 5491 - Merkel Zell Karzinom
de
Diagnose
Merkel Zell Karzinom
Diagnose Gruppe
maligner Tumor
Topographie
Haut, Lid
Topographie Gruppe
Haut
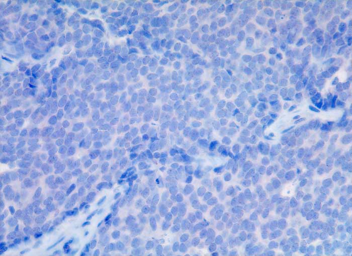
Beschreibung
Die Tumorzellen exprimieren kein TTF1
Zusatzbefund
Immunhistochemie: CK20 und Synaptophysin positiv. Melanommarker, CD20, CD45, TTF1 negativ.
Klinik
Tumor am Unterlid
Kommentar
Im Unterschied zum kleinzelligen Bronchuskarzinom exprimieren Merkelzellkarzinome kein TTF1
Bilder Typ
Histologie
Immunhistochemie
TTF-1
Vergrösserung
320
Alter
80
Geschlecht
männlich
Datum
Ersteintrag: 06.10.2002
Update: 04.02.2024
CPS
·
©
2024 Institut für Pathologie Basel
/
Dr. med. Katharina Glatz-Krieger
.
·
v2.1