Diagnose Gruppe
maligner Tumor
Topographie Gruppe
Lymphatische Gewebe, KM, Milz
Beschreibung
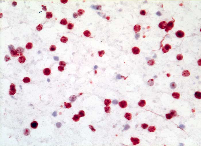
Frischgewebsabstrich Tonsille: über 95% der lymphoiden Zellen sind Ki-67-positiv. Bei den wenigen Ki-67-negativen Zellen könnte es sich um reaktive Lymphozyten handeln.
Klinik
Verdacht auf Lymphom der linken Tonsille
Immunhistochemie
Ki-67 MIB 1
Datum
Ersteintrag: 23.12.2002
Update: 04.02.2024