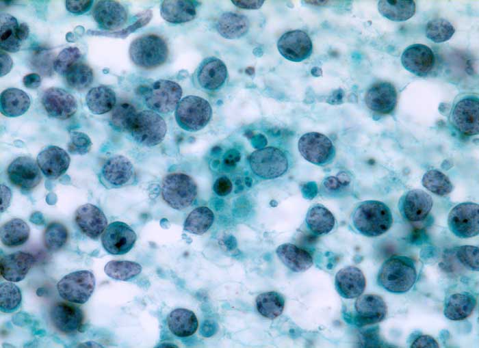
Frischgewebsabstrich Tonsille: Einheitlicher Rasen von atypischen lymphoiden Zellen, die zytoplasmaarm und 2-3 mal grösser sind als kleine Lymphozyten. Kerne rundlich, Kernstruktur feinkörnig. Zahl und Form der Chromozentren sehr variabel, teils zentroblastenähnlich nahe der Kernmembran angeordnet. Kerntrümmermakrophage.
Klinik
Verdacht auf Lymphom der linken Tonsille
Kommentar
Zytologische Diagnose: Malignes Non Hodgkin Lymphom. Die genaue Klassifikation sollte am histologischen Präparat erfolgen.