PathoPic – image database / PathoPic ID 5501 - Burkitt Lymphom (WHO)

de
Diagnose
Burkitt Lymphom (WHO)
Diagnose Gruppe
maligner Tumor
Topographie
Tonsille
Topographie Gruppe
Lymphatische Gewebe, KM, Milz
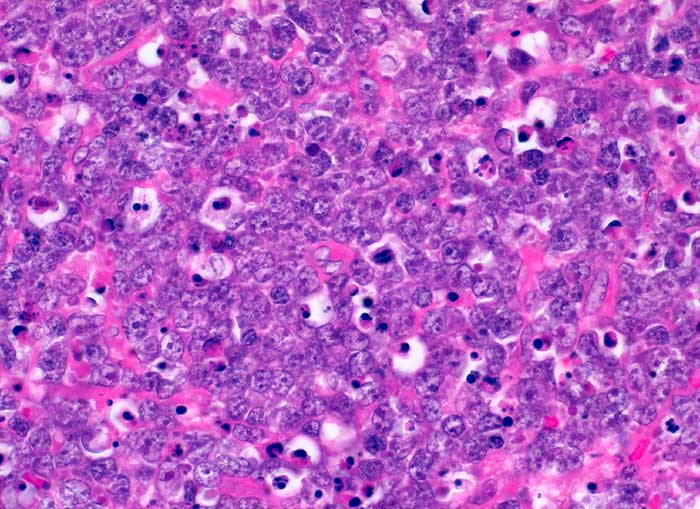
Beschreibung
Blastenrasen aus mittelgrossen monomorphen Blasten. Mitosen und zahlreiche Apoptosen weisen auf die hohe Proliferationsaktivität hin.
Zusatzbefund
Die Tumorzellen sind positiv für den Pan-B-Zell-Marker CD20, sie zeigen darüberhinaus eine starke Expression von CD10 (Calla) sowie von bcl-6. Negativ ist bcl-2. Diagnostisch entscheidend der Proliferationsmarker MIB-1 (Ki-67), welcher in 100% der Tumorzellen nukleär stark positiv ist.
Klinik
Verdacht auf Lymphom der linken Tonsille
Bilder Typ
Histologie
Vergrösserung
400
Alter
25
Geschlecht
männlich
Datum
Ersteintrag: 23.12.2002
Update: 04.02.2024