PathoPic – image database / PathoPic ID 5507 - Plattenepithelkarzinom: Lymphknotenmetastase

de
Diagnose
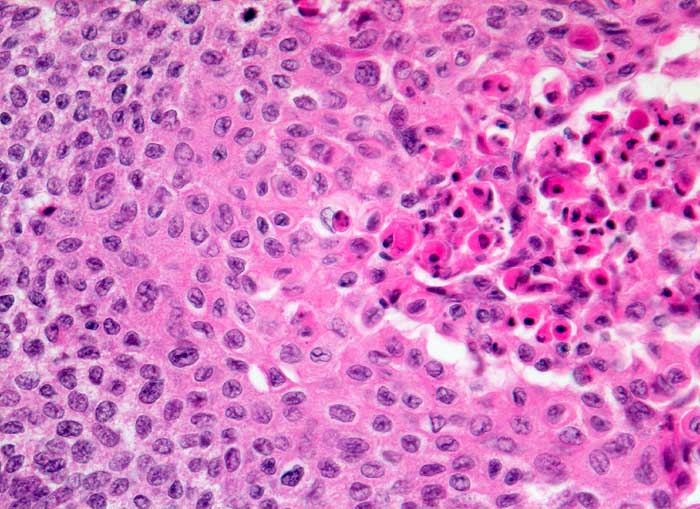
Plattenepithelkarzinom: Lymphknotenmetastase
Diagnose Gruppe
maligner Tumor
Topographie
Lymphknoten, Kopf-cervikal
Topographie Gruppe
Lymphatische Gewebe, KM, Milz
Beschreibung
Solider Tumor mit geringen Atypien und Zeichen der Verhornung im Zentrum der soliden Zellplatten.
Klinik
3cm grosser Tumor Hals rechts
Kommentar
Zytologische Diagnose: Zahlreiche Zellen eines verhornenden Plattenepithelkarzinoms.
Bilder Typ
Histologie
Vergrösserung
320
Alter
53
Geschlecht
männlich
Datum
Ersteintrag: 23.12.2002
Update: 04.02.2024