Diagnose Gruppe
Entzündung infektiös
Topographie
Lymphknoten, Kopf-cervikal
Topographie Gruppe
Lymphatische Gewebe, KM, Milz
Beschreibung
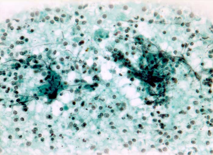
Feinnadelpunktion Lymphknoten submandibulär: Die nicht sehr zellreichen Ausstriche enthalten Detritus vermischt mit neutrophilen Granulozyten und Kerntrümmern.
Zusatzbefund
Fibrin (+)
Blutbeimischung +
Granulozyten +
Lymphozyten (+)
Histiozyten (+)
Histiozytäre Riesenzellen (+)
Plattenepithelien ++
Parakeratotische Plattenepithelien ++
Klinik
Generalisierte Lymphadenopathie, Stomatitis, HIV positiv.
Kommentar
Zytologische Diagnose: Ausgeprägte granulozytäre Entzündung. Keine Malignitätszeichen.
Datum
Ersteintrag: 23.12.2002
Update: 04.02.2024