Generalisierte Lymphadenopathie, Stomatitis, HIV positiv.
Kommentar
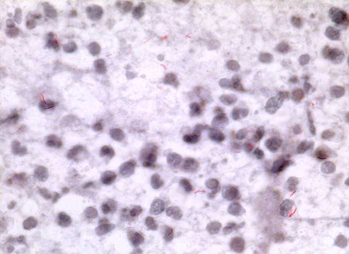
Zytologische Diagnose: Ausgeprägte granulozytäre Entzündung. Keine Malignitätszeichen. Die Ziehl Neelsen Färbung wurde über einem vorher mit Papanicolaou gefärbten Präparat hergestellt. Während bei immunkompetenten Patienten der Halslymphknotenbefall meist auf einen Primärinfekt im Bereich der Mundhöhle (Typ Bovinus) hindeutet, sind bei HIV Patienten die Lymphknoten wahrscheinlich im Rahmen einer generalisierten hämatogenen und lymphogenen Tuberkulose befallen (Miliartuberkulose).