Diagnose
Tuberkulose: säurefeste Stäbchen
Diagnose Gruppe
Entzündung infektiös
Topographie
Lymphknoten, Kopf-cervikal
Topographie Gruppe
Lymphatische Gewebe, KM, Milz
Beschreibung
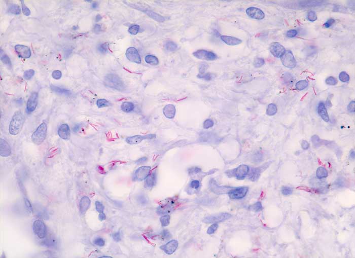
Epitheloidzelliges Granulom mit sehr zahlreichen säurefesten Stäbchen.
Zusatzbefund
Autopsiebefunde: Miliare
Streuherde in Lunge, Milz (Dm bis 4mm), Nieren, Nebennieren, Ileum
terminale und Zoekum (Tuberkulosepsis) mit Nachweis säurefester
Stäbchen. Lymphknotentuberkulose zervikal beidseits (Dm bis
2x1cm), peribronchial beidseits, paraaortal abdominal (vor allem
peripankreatisch), mesenterial und ileozökal (Dm bis 2x2cm).
Nachweis von Mycobacterium tuberculosis in Abstrich von Milz und
Lunge sowie in der broncho-alveolären Lavage 2 Wochen vor dem Tod. Käsige Pneumonie beider Lungen. Fibrinöse
Pleuritis beidseits.
Klinik
Generalisierte Lymphadenopathie, Stomatitis, HIV positiv.
Kommentar
Während bei immunkompetenten Patienten der Halslymphknotenbefall meist auf einen Primärinfekt im Bereich der Mundhöhle (Typ Bovinus) hindeutet, sind bei HIV Patienten die Lymphknoten wahrscheinlich im Rahmen einer generalisierten hämatogenen und lymphogenen Tuberkulose befallen (Miliartuberkulose).
Datum
Ersteintrag: 23.12.2002
Update: 04.02.2024