PathoPic – image database / PathoPic ID 552 - Infarktoide areaktive Pneumonie bei Lymphom

de
Diagnose
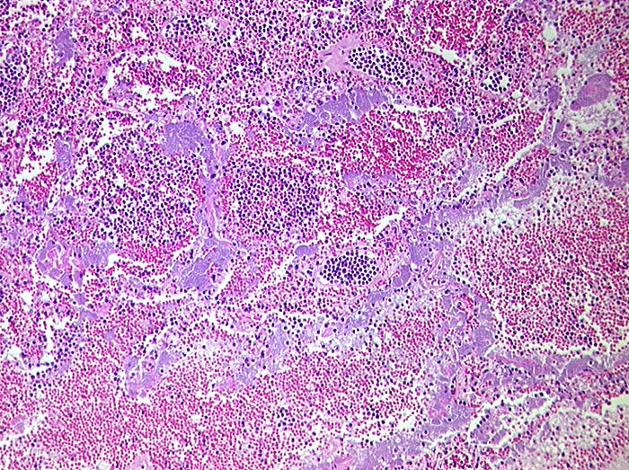
Infarktoide areaktive Pneumonie bei Lymphom
Diagnose Gruppe
Entzündung infektiös
Topographie
Lunge
Topographie Gruppe
Lunge, Mediastinum mit Thymus
Beschreibung
Blaue Bakterienrasen entlang der Alveolarsepten. Intraalveoläre Hämorrhagien. Die kleinen dunklen Zellen entsprechen Lymphominfiltraten. Ein reaktives entzündliches Infiltrat fehlt.
Zusatzbefund
T-Zell Lymphom mit leukämischer Ausschwemmung.
Klinik
Lymphom seit 3 Jahren. Massive Leukozytose.
Bilder Typ
Histologie
Geschlecht
weiblich
Datum
Ersteintrag: 14.11.2001
Update: 04.02.2024