PathoPic – image database / PathoPic ID 5540 - Carcinoma in situ (VIN III)

de
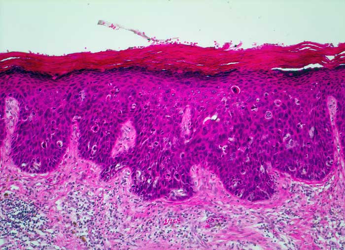
Diagnose
Carcinoma in situ (VIN III)
Diagnose Gruppe
Präneoplasie/ Atypie/ Dignität?
Topographie
Vulva
Topographie Gruppe
Genitalorgane, weiblich
Beschreibung
Die Zellen des Plattenepithels zeigen in der gesamten Breite ausgeprägte Kernatypien. Zahlreiche suprabasale Mitosen. Hyperkeratose und Dyskeratose. Invasives Wachstum ist nicht erkennbar. Die Basalmembran ist auf der gesamten Länge erhalten.
Zusatzbefund
Hautulkus im Bereich des Carcinoma in situ.
Bilder Typ
Histologie
Vergrösserung
100
Alter
73
Geschlecht
unbekannt
Datum
Ersteintrag: 13.10.2002
Update: 04.02.2024