PathoPic – image database / PathoPic ID 5572 - Hodgkin Lymphom

de
Diagnose
Hodgkin Lymphom
Diagnose Gruppe
maligner Tumor
Topographie
Lymphknoten, supraklavikulär
Topographie Gruppe
Lymphatische Gewebe, KM, Milz
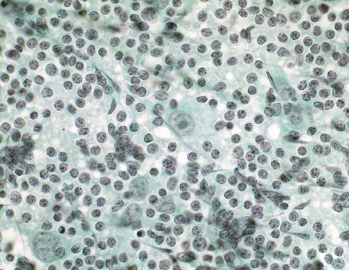
Beschreibung
Feinnadelpunktion Lymphknoten supraclaviculär links: Neben reichlich Lymphozyten und vereinzelten Granulozyten immer wieder einzeln liegende Hodgkin Zellen mit einem grossen Kern und einem teils Erythrozyten grossen Nukleolus. Zytoplasma breit und zyanophil.
Zusatzbefund
Histologisch Hodgkin Lymphom, noduläre Sklerose.
Klinik
Zervikale Lymphadenopathie.
Kommentar
Zytologische Diagnose: Hodgkin Lymphom
Bilder Typ
Zytologie
Vergrösserung
400
Alter
22
Geschlecht
männlich
Datum
Ersteintrag: 23.12.2002
Update: 04.02.2024