Diagnose Gruppe
maligner Tumor
Topographie
Lymphknoten, supraklavikulär
Topographie Gruppe
Lymphatische Gewebe, KM, Milz
Beschreibung
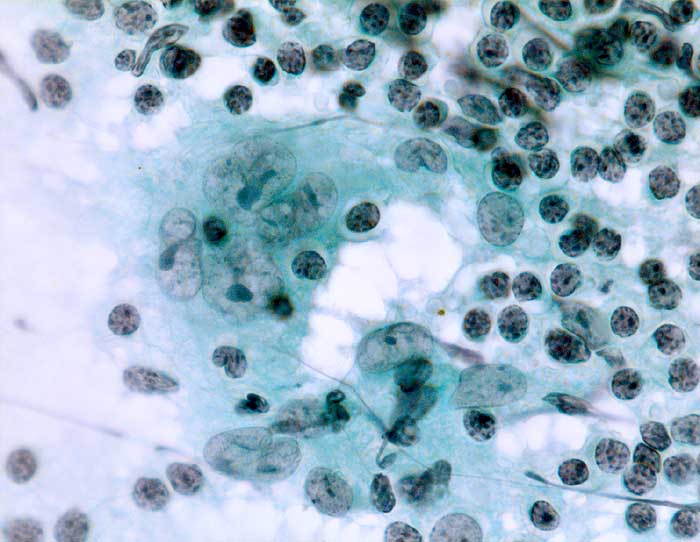
Feinnadelpunktion Lymphknoten supraclaviculär links: Neben reichlich Lymphozyten und Histiozyten grosse mehrkernige
Sternberg Reed Zellen mit polymorphen, lobulierten Kernenen und auffallend grossen Nukleolen.
Zusatzbefund
Histologisch Hodgkin Lymphom, noduläre Sklerose.
Klinik
Zervikale Lymphadenopathie.
Kommentar
Zytologische Diagnose: Hodgkin Lymphom
Datum
Ersteintrag: 23.12.2002
Update: 04.02.2024