PathoPic – image database / PathoPic ID 5577 - Malignes Melanom

de
Diagnose
Malignes Melanom
Diagnose Gruppe
maligner Tumor
Topographie
Lymphknoten, Axilla
Topographie Gruppe
Lymphatische Gewebe, KM, Milz
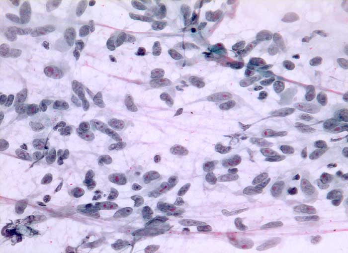
Beschreibung
Feinnadelpunktion Lymphknoten Axilla: zahlreiche atypische spindelige Zellen. Diese sind ziemlich gross und besitzen unterschiedlich grosse, spindelige, vielfach gekerbte und auch stärker polymorphe, grob strukturierte Kerne mit zum Teil einem oder mehreren auffallend plumpen eosinophilen Nukleolen. Der Zytoplasmaleib ist schmal, uncharakteristisch und oft an den Enden der Zellen deutlich elongiert. Pigment ist nicht erkennbar.
Klinik
Seit zwei Monaten zunehmende axilläre Lymphknotenschwellung.
Kommentar
Zytologische Diagnose: Zellen eines spindelzelligen malignen Tumors
Bilder Typ
Zytologie
Vergrösserung
320
Alter
74
Geschlecht
männlich
Datum
Ersteintrag: 23.12.2002
Update: 04.02.2024