Diagnose
Sekundärer Hyperparathyreoidismus: Hauptzell-Hyperplasie
Diagnose Gruppe
Hyperplasie / Hypertrophie
Topographie
Nebenschilddrüse
Topographie Gruppe
Endokrinium
Beschreibung
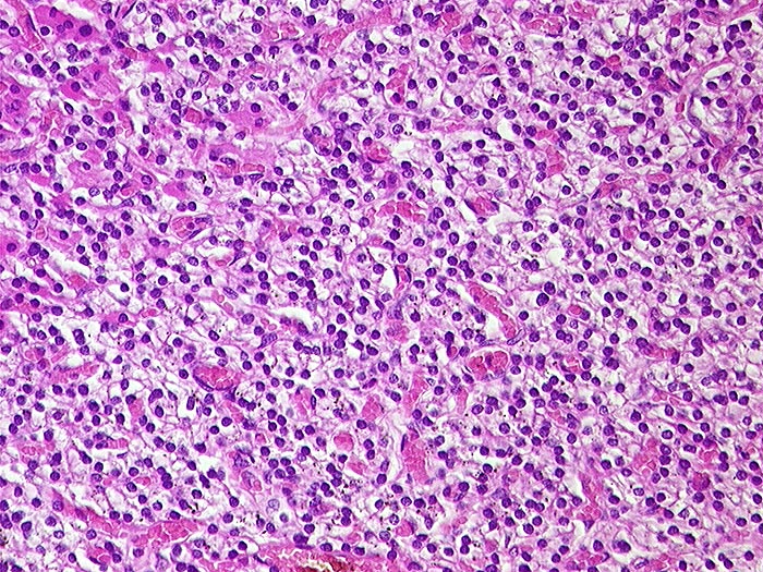
Hauptzellen mit klarem Zytoplasma und kleinen runden Kernen. Fehlendes Fettgewebe.
Klinik
Dialyse seit Jahren bei terminaler Niereninsuffizienz wegen Analgetikanephropathie.
Datum
Ersteintrag: 14.11.2001
Update: 04.02.2024