Diagnose
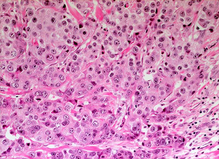
Wenig differenziertes invasiv duktales Mammakarzinom
Diagnose Gruppe
maligner Tumor
Beschreibung
Trabekulär angeordnete stark atypische Tumorzellen mit deutlicher Pleomorphie und hyperchromatischen Kernen. Reichlich eosinophiles Zytoplasma.
Klinik
Sonographisch wachsender Befund unklarer Dignität im oberen
äusseren Quadranten rechts.
Datum
Ersteintrag: 25.12.2002
Update: 04.02.2024