PathoPic – image database / PathoPic ID 5599 - invasiv lobuläres Mammakarzinom

de
Diagnose
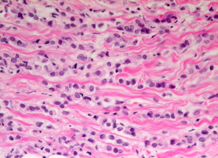
invasiv lobuläres Mammakarzinom
Diagnose Gruppe
maligner Tumor
Topographie
Mamma
Topographie Gruppe
Mamma
Beschreibung
Zwischen breiten Bindegewebssträngen liegen die monomorphen kleinen Tumorzellen angeordnet in einreihigen Zellsträngen
Klinik
Verdacht auf Mammakarzinom
Bilder Typ
Histologie
Vergrösserung
320
Alter
50
Geschlecht
unbekannt
Datum
Ersteintrag: 25.12.2002
Update: 04.02.2024