PathoPic – image database / PathoPic ID 5600 - invasiv lobuläres Mammakarzinom

de
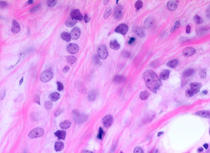
Diagnose
invasiv lobuläres Mammakarzinom
Diagnose Gruppe
maligner Tumor
Topographie
Mamma
Topographie Gruppe
Mamma
Beschreibung
In Einerreihen hintereinander gänsemarschartig angeordnete monomorphe kleine Tumorzellen mit geringen Atypien.
Klinik
Verdacht auf Mammakarzinom
Bilder Typ
Histologie
Vergrösserung
630
Alter
50
Geschlecht
unbekannt
Datum
Ersteintrag: 25.12.2002
Update: 04.02.2024